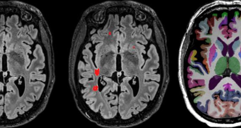
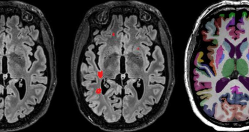
Bilder tagna på hjärnan med MR-kamera
Foto: Karolinska Universitetssjukhuset

Ny generations magnetkamera i klinisk drift på KS

Karolinska Universitetssjukhuset har invigt en ny magnetkamera i Huddinge. Det är det första sjukhuset i världen som har en ny generations magnetkamera i klinisk drift. Magnetkameran har ett magnetfält på 7 Tesla, det starkaste som någonsin använts inom rutinsjukvård.

– Med den nya magnetkameran kan vi göra mer noggranna MR-undersökningar för patienter än vad som tidigare varit möjligt. Tack vare bättre bildkvalitet för hjärnan kan vi ge rätt diagnos i ett tidigare skede och optimera behandlingen, säger specialistläkaren Tobias Granberg som är sektionschef inom neuroradiologi på Karolinska Universitetssjukhuset.

Magnetkameran kommer att vara särskilt betydelsefull vid bland annat epilepsi, MS, ALS, Parkinsons och Alzheimers sjukdom.

– Till exempel kan vi hos var tredje person med epilepsi som inte svarar på läkemedelsbehandling nu hitta förändringar som kan opereras som vi inte ser med vanlig magnetkamera. Vid MS kan vi nu se hur sjukdomen påverkar hjärnbarken och påvisa kronisk inflammation. Det gör att vi kan hitta nya läkemedel som förhindrar kroniska funktionsnedsättningar, säger Tobias Granberg.